Blog - Page 2

Bloc osseux ramique

Bloc osseux ramique

La dévitalisation

La dévitalisation

Mandibule complète et traitement implantaire pour un bridge fixe scellé

Mandibule complète et traitement implantaire pour un bridge fixe scellé

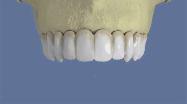
Maxillaire : bridge vissé sans fausse gencive

Maxillaire : bridge vissé sans fausse gencive

Maxillaire all-on-6 et comblement de sinus

Maxillaire all-on-6 et comblement de sinus

Protheses, materiaux et prise en charge

Protheses, materiaux et prise en charge

Une dent abîmée peut être reconstruite avec ce que l’on appelle une prothèse dentaire fixe.

Affichage des articles 7-12 sur 136