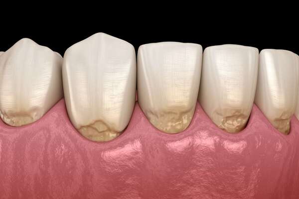
La mylolyse ou lésion cervicale d’usure se définit comme une perte de matière dentaire se localisant au collet de la dent.
Blog - Page 17
Un kyste dentaire se présente en général sous la forme d’une masse arrondie ou ovale située à la racine de la dent.
L’endodontie s’attache à la prévention, au diagnostic et au traitement des maladies de la pulpe dentaire.
Une dent dévitalisée et soignée peut s’infecter et nécessiter une reprise du traitement de la racine ou « retraitement endodontique ».
La réduction de la sécrétion salivaire se traduit par des sensations de picotements, de soif, une difficulté à mastiquer et à avaler.
Dans quels cas est-il nécessaire de procéder à une extraction dentaire et comment se déroule l’intervention ?






